设为首页
收藏本站
资讯
问答
门户
Portal
论坛
BBS
导读
Guide
广播
Follow
圈子
Group
动态
Space
日志
Blog
记录
Doing
口腔百科
»
论坛
›
口腔百科
›
大杂烩
›
查看内容
0 评论
0 收藏
分享
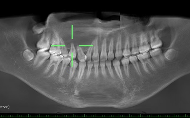
12岁孩子,巨大囊肿导致颜面变形。
那年的海
发布于 2025-2-23 14:02:02
来自手机
阅读 439
查看全部
现在家长的心🉑真大,12岁的小孩,外面脸和右侧鼻孔都变形了,囊肿占位面积这么大,哎~还不着急,太没意识了,看的我都着急的不行
回复
举报
分享
上一篇:
这牙长的也太有个性了
下一篇:
all-on-6/4种植牙图示
全部回复
暂无回帖,快来参与回复吧
返回列表
发新帖
本版积分规则
高级模式
B
Color
Image
Link
Quote
Code
Smilies
您需要登录后才可以回帖
登录
|
立即注册
浏览过的版块
种植论坛
那年的海
注册会员
主题
19
回复
0
粉丝
0
加好友
发私信
热点排行
1
严重的种植并发症一例
黑夜模式
快速发帖
返回列表
返回顶部