设为首页
收藏本站
资讯
问答
门户
Portal
论坛
BBS
导读
Guide
广播
Follow
圈子
Group
动态
Space
日志
Blog
记录
Doing
口腔百科
»
论坛
›
口腔百科
›
大杂烩
›
查看内容
0 评论
0 收藏
分享
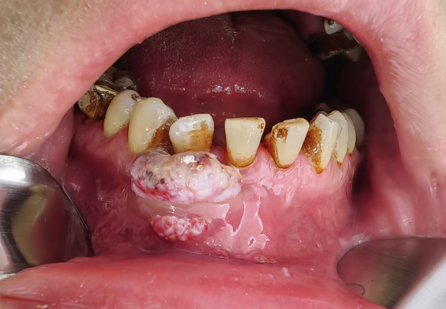
牙龈癌
那年的海
发布于 2025-2-28 22:53:35
来自手机
阅读 394
查看全部
牙龈癌,各种奇葩,无法描述
回复
举报
分享
上一篇:
种植牙的各种奇葩
下一篇:
特殊的种植方式
全部回复
暂无回帖,快来参与回复吧
返回列表
发新帖
本版积分规则
高级模式
B
Color
Image
Link
Quote
Code
Smilies
您需要登录后才可以回帖
登录
|
立即注册
浏览过的版块
种植论坛
那年的海
注册会员
主题
19
回复
0
粉丝
0
加好友
发私信
热点排行
1
严重的种植并发症一例
黑夜模式
快速发帖
返回列表
返回顶部