设为首页
收藏本站
资讯
问答
门户
Portal
论坛
BBS
导读
Guide
广播
Follow
圈子
Group
动态
Space
日志
Blog
记录
Doing
口腔百科
»
论坛
›
口腔百科
›
种植论坛
›
查看内容
0 评论
0 收藏
分享
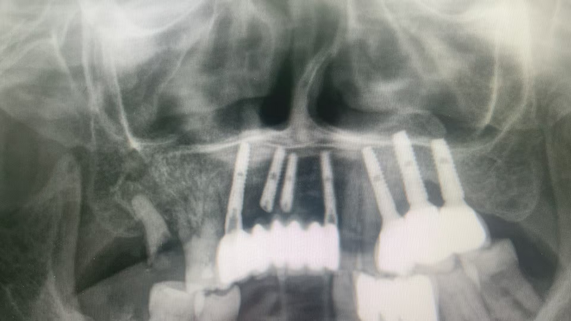
沉没修复,医者患者都沉默了
test
发布于 2025-3-8 14:16:52
来自手机
阅读 1211
查看全部
问题是解决了,可是,可是,还是沉默吧。
回复
举报
分享
上一篇: 没有了
下一篇:
这是什么种植方法?
全部回复
暂无回帖,快来参与回复吧
返回列表
发新帖
本版积分规则
高级模式
B
Color
Image
Link
Quote
Code
Smilies
您需要登录后才可以回帖
登录
|
立即注册
浏览过的版块
大杂烩
test
注册会员
主题
18
回复
0
粉丝
0
加好友
发私信
热点排行
1
严重的种植并发症一例
黑夜模式
快速发帖
返回列表
返回顶部